Well, well, well…. We have some news!
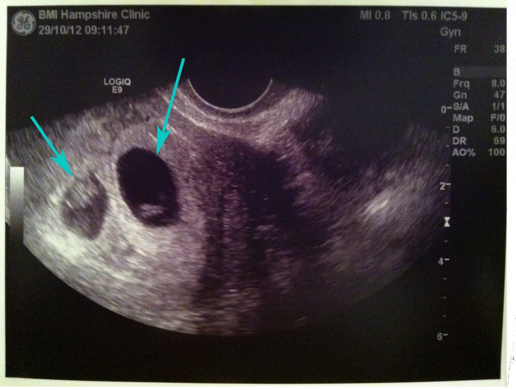
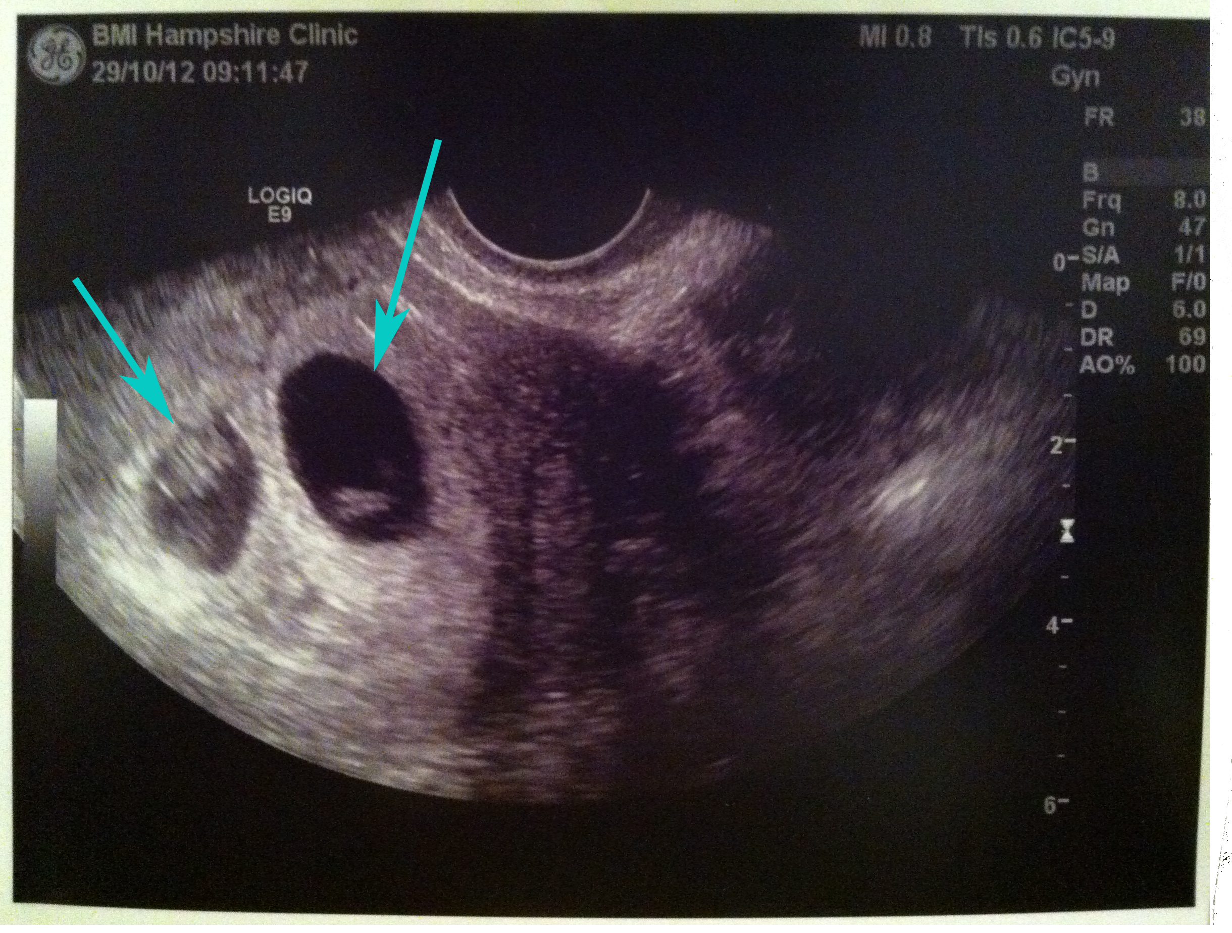
I had my first scan (internal) yesterday at the Hampshire Clinic. The main purpose was to see if there was a heartbeat and to measure the size of the embryo and the sack, were there one.
And although we had some suspicions (at the end of the day, they DID transfer two embryos), Jon and I had a great surprise to see two heartbeats!
The “bad” news is that one of those (the one on the left in the picture) is not as well developed as the other one, and Mr O’Sullivan said that he was going to sit on the fence for a while and wait to see how it keeps developing. I have another follow up scan in two weeks’ time to see how number two is doing.
Apart from this, and from the confirmation from the consultant that I have to keep on taking the crinone gel for a couple more weeks, not much to report. I still have no morning sickness and I was quite surprised to learn that less than half of pregnant women get morning sickness. Gillian told me that she deals with pregnant women all the time and morning sickness is not as common as people seem to think.
I do feel tired from time to time and getting up in the morning is quite a struggle lately. I had been feeling quite positive until today, when suddenly I had one of those famous, hormone-driven, mood swings: I got to work and any conversation that I joined suddenly turned into a battlefield for me to prove how right I was about everything (which, by the way, I was.. but nobody ever listens to me anyway)
So week 7 is halfway through, and I can’t wait for the first trimester to end so we can have more certainty on what’s happening down there.
More to come soon!







Well, well. After I read the news I couldn’t but start reading this other blog!
If I may, I just have one simple suggestion… “Nivea cream” the one in the tint not the one in the plastic box.
I have no stretchs marks at all in my belly or breast and this is thanks Nivea. I have used it everyday since I knew I was pregnant and I am delighted to say that I works. I am sure that your belly will stretch more than mine (as I only have one mini-me)… 😀
I wish you the best pregnancy! Still a few weeks ahead!